Σοβαρή περιπέτεια με την υγεία του έζησε ένα 4χρονο παιδί την παραμονή της Πρωτοχρονιάς στην Κρήτη, καθώς λίγο πριν την έλευση του νέου έτους κατάπιε κατά λάθος ένα κέρμα, με αποτέλεσμα να μεταφερθεί εσπευσμένα στο νοσοκομείο.
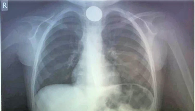
Όταν το παιδί έφτασε στο ΠΑΓΝΗ, οι γιατροί έκαναν ακτινογραφία για να δουν σε ποιο σημείο ακριβώς είχε σταθεί το νόμισμα και αμέσως μετά προχώρησαν στη διαδικασία αφαίρεσής του. Δεν πέρασε πολύς χρόνος και οι γιατροί κατάφεραν να αντιμετωπίσουν επιτυχώς το επείγον περιστατικό, λύνοντας ταχύτατα το πρόβλημα.
