Μια πανέμορφη επαρχιακή γωνιά, η Κύμη της Ευβοίας, ήταν το σκηνικό όπου κύλησαν τα πρώτα χρόνια της ζωής του Γεωργίου Ν. Παπανικολάου.
Εκεί γεννήθηκε στις 13 Μαΐου 1883, όντας το τρίτο παιδί του Νικόλαου και της Μαρίας Παπανικολάου, το γένος Κριτσούτα.
Ο πατέρας του, γιατρός και πολιτευτής, προσέφερε πολλά στην ιδιαίτερη πατρίδα του ως Βουλευτής Καρυστίας και Δήμαρχος Κύμης. Στην πολιτική του σταδιοδρομία στάθηκε θαυμαστής και πιστός οπαδός του Χαριλάου Τρικούπη.
Η σύζυγός του Μαρία, γυναίκα με εντυπωσιακή εμφάνιση, πνευματική καλλιέργεια, ήθος και καλοσύνη, αποτελούσε μία μορφή αξιοσέβαστη και αξιαγάπητη.
Έτσι ο Γιώργος πέρασε τα παιδικά του χρόνια σε ένα περιβάλλον όπου η φύση ήταν δεμένη με την ύπαρξη και η αγάπη με τη ζωή. «Είναι διαρκής η ανάμνησις της παιδικής και νεανικής μου ζωής μέσα στο ζεστό πατρικό μας σπίτι» έγραφε ο ίδιος το 1958.
Αφού τελείωσε το Δημοτικό, ήρθε στην Αθήνα για τις Γυμνασιακές του σπουδές. Από νωρίς έδειξε πως ήταν προικισμένος με εξαιρετική ευαισθησία, σπάνια εξυπνάδα, φιλομάθεια και θεληματικότητα.
Άρχισε να μαθαίνει γαλλικά, μια γλώσσα με διεθνή τότε ακτινοβολία, η οποία θεωρούνταν απαραίτητο εφόδιο για κάθε καλλιεργημένο άτομο.
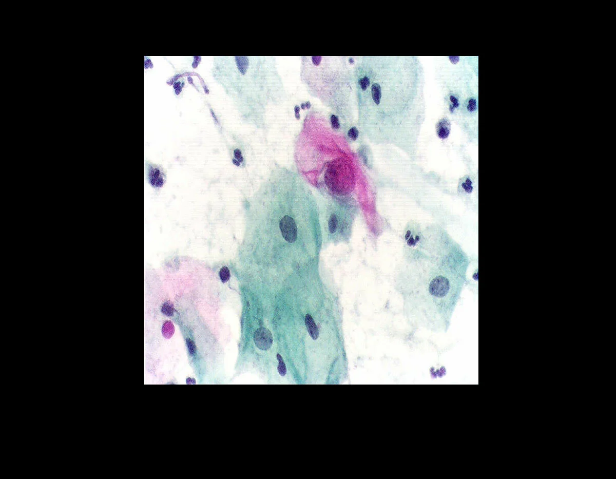
«Η πρώτη παρατήρηση των καρκινικών κυττάρων στο επίχρισμα του τραχήλου της μήτρας μού έδωσε μία από τις μεγαλύτερες συγκινήσεις που έχω βιώσει κατά τη διάρκεια της επιστημονικής σταδιοδρομίας μου». (Γεώργιος Παπανικολάου)
Έχοντας ιδιαίτερη κλίση στη μουσική, παρακολούθησε για οκτώ χρόνια μαθήματα βιολιού στο Ωδείο Λότνερ.
Με το συνεχώς αυξανόμενο ενδιαφέρον του για τη λογοτεχνία, την ποίηση και τη φιλοσοφία, κατόρθωσε να αποκτήσει μίαν ευρύτατη καλλιέργεια.
Το 1898 εισήλθε στην Ιατρική σχολή του Πανεπιστημίου Αθηνών σε ηλικία 15 χρόνων.
Στα πανεπιστημιακά χρόνια συνδέθηκε με φοιτητές της φιλοσοφικής σχολής ταγμένους στο κίνημα του δημοτικισμού. Ανάμεσά τους ο Δ. Γληνός και ο Αλ. Δελμούζος, που αργότερα θα έπαιζαν πρωταγωνιστικό ρόλο στα θέματα της παιδείας.
Όταν πήρε το δίπλωμά του και εκπλήρωσε και τις στρατιωτικές του υποχρεώσεις, ήρθε η ώρα να αποφασίσει για την καριέρα του.
Την πρόταση του πατέρα του να σταδιοδρομήσει ως ιατρός ή ακόμα να εξασφαλίσει μία θέση στρατιωτικού γιατρού την απέρριψε χωρίς δισταγμό, καθώς στο ανήσυχο πνεύμα του δεν ταίριαζαν τέτοιες λύσεις.
Σε γράμμα του την 31η Δεκεμβρίου 1904 έγραφε στον πατέρα του: «Όχι, δεν θέλω γίνω στρατιωτικός γιατρός. Θέλω να μείνω ελεύθερος, να αισθανθώ τη χαρά που δίνει ο αγών της ζωής. Εμένα δεν με τρομάζει το πέλαγος. Θέλω την ελευθερία μου, τη γλυκιά μου ελευθερία».
Τελικά έπεισε τον πατέρα του να τον στείλει για ευρύτερες σπουδές στο εξωτερικό. Στην απόφασή να επιλέξει τη Γερμανία ως τόπο των μεταπτυχιακών του σπουδών τον ώθησε ο πολύτιμος φίλος του Αλέκος Δελμούζος. Είχαν και οι δύο επηρεαστεί από τη σκέψη των μεγάλων Γερμανών συγγραφέων και φιλοσόφων: του Γκαίτε, του Καντ, του Σοπενχάουερ και του Νίτσε.
Όλες αυτές οι επιρροές οδήγησαν τον νεαρό Γιώργο να αποκτήσει μια αντίληψη της ζωής που θα είχε ως στόχο έναν μεγάλο σκοπό. Έναν σκοπό τον οποίο προετοιμαζόταν να υπηρετήσει με συνεχή προσπάθεια, επιδίωξη της τελειότητας και ισχυρή θέληση.
«Θέλω να πολεμήσω εις την πρώτην γραμμήν και ή να πέσω τίμια ή να φέρω εκ των πρώτων τη σημαίαν της προόδου εις τον δρόμον του μέλλοντος» έγραφε.
Το 1907 έφυγε για τη Γερμανία. Κατά την τριετία 1907-10, σπούδασε Βιολογία και Ζωολογία στα Πανεπιστήμια της Ιένας, του Φράιμπουργκ και του Μονάχου, με τους διάσημους Καθηγητές Χαίκελ, Χέρτβιγκ και Βάισμαν.
Στο διάστημα αυτό απέκτησε πλούσια εργαστηριακή πείρα, δημοσίευσε δύο εργασίες στα γερμανικά και έλαβε το Διδακτορικό του δίπλωμα (PhD) από το Πανεπιστήμιο του Μονάχου, με θέμα «περί των όρων της φυλετικής διαφοροποιήσεως των Δαφνιδών».
Το επιστημονικό κλίμα της Γερμανίας επηρέασε αποφασιστικά τις κατευθύνσεις και τη νοοτροπία του. Επιστρέφοντας στην Ελλάδα βρήκε την κατάσταση απογοητευτική, καθώς στο θέμα της έρευνας που τον ενδιέφερε δεν υπήρχε πρόσφορο έδαφος.
Συγχρόνως είχε αρχίσει να σκέφτεται και το θέμα της επιλογής μιας συντρόφου που θα έστεκε δίπλα του στον δύσκολο δρόμο της ζωής τον οποίο είχε επιλέξει.
Στην Κύμη παραθέριζε η οικογένεια Μαυρογένη. Η κόρη τους Μάχη ήταν μια κοπέλα ζωντανή με ιδιαίτερη για την εποχή της μόρφωση. Γνώριζε γαλλικά, πιάνο και με την ευχάριστη διάθεσή της κέρδιζε αμέσως τη συμπάθεια.
Ο Γιώργος με το ερευνητικό του μάτι διέγνωσε πως είχε ένα πολύ δυνατό χαρακτήρα και της έκανε πρόταση γάμου. Της εξήγησε όμως πως θα έπρεπε να είναι έτοιμη για μια πορεία δύσκολη και εξαιρετικά φιλόδοξη.
Εκείνη γοητευμένη από την προσωπικότητά του και την προοπτική μιας αλλιώτικης ζωής, δέχτηκε.
Ο γάμος τους έγινε στην Αθήνα, στο σπίτι των Μαυρογένη, στις 15 Σεπτεμβρίου του 1910. Στην συνέχεια αναχώρησαν μαζί με την γυναίκα του για την Γαλλία.
Πρώτος τους σταθμός το Ωκεανογραφικό Ινστιτούτο του Μονακό, όπου σύντομα ο Παπανικολάου ανέλαβε εργασία τον Ιανουάριο του 1911, στην επιστημονική ομάδα του φυσιοδίφη Πρίγκιπα του Μονακό, Αλβέρτου Α’.
Η δουλειά ήταν για αυτόν μονότονη, με εξαίρεση την τρίμηνη εξόρμηση που ο Πρίγκιπας πραγματοποίησε με το επιστημονικό του επιτελείο, για ενάλιες έρευνες με το ειδικό πλοίο «Ηirondelle». Στο τέλος της εξόρμησης αυτής αποφάσισε να επιστρέψει στην Ελλάδα.
Εξάλλου, ο θάνατος της μητέρας του που είχε μεσολαβήσει εν τω μεταξύ, επέτεινε την επιθυμία του να βρεθεί κοντά στην οικογένεια.
Το 1911 αναχώρησε και πάλι για μικρό χρονικό διάστημα στη Γερμανία και στην συνέχεια επανήλθε στην Ελλάδα.
Κατά την επιστροφή του, η Πατρίδα περνούσε κρίσιμες ώρες. Ο Παπανικολάου επιστρατεύτηκε ως έφεδρος ανθυπίατρος και πολέμησε στους Βαλκανικούς πολέμους του 1912-13.
Κατά τη διάρκεια των πολεμικών επιχειρήσεων γνώρισε πολλούς μετανάστες της Αμερικής που είχαν έλθει να πολεμήσουν εθελοντικά.
Η επαφή του με αυτούς του εδραίωσε την πεποίθηση ότι μόνο στην Αμερική θα έβρισκε τα μέσα και τις συνθήκες για επιστημονική έρευνα. Έτσι πήρε την απόφαση να φύγει για τον Νέο Κόσμο.
Στις 19 Οκτωβρίου 1913 ο Γιώργος και η Μάχη Παπανικολάου αποβιβάστηκαν στη Νέα Υόρκη. Η ζωή του νέου ζευγαριού σε ένα άγνωστο και διαφορετικό περιβάλλον ήταν τον πρώτο καιρό πολύ σκληρή.
Στην αρχή αναγκάστηκαν να κάνουν δουλειές άσχετες με τη μόρφωση και τις συνήθειές τους: εκείνος έγινε υπάλληλος σε κατάστημα χαλιών, ενώ συνεργαζόταν παράλληλα και με την ελληνική εφημερίδα «Ατλαντίς» και εκείνη έραβε κουμπιά στα πολυκαταστήματα Gimbels.
Διαθέτοντας όμως υπομονή και δύναμη, ο Παπανικολάου άρχισε να αναζητά επιστημονική εργασία. Παρουσιάστηκε στον καθηγητή Μorgan, o οποίος γνώριζε τις εργασίες του στο πανεπιστήμιο του Μονάχου.
Έτσι. τον Σεπτέμβριο του 1914 προσελήφθη στο τμήμα Ανατομίας του Πανεπιστημίου Cornell, κοντά στον καθηγητή Stockard.
Στο Πανεπιστήμιο αυτό ο Παπανικολάου μαζί με τον Stockard δημοσίευσε την πρώτη του εργασία σχετικά με την μεταβίβαση των εκφυλιστικών αλλοιώσεων στους απογόνους των θηλαστικών που είχαν κάνει κατανάλωση αλκοόλ.
Αποφασισμένος να συνεχίσει και να ολοκληρώσει τις πειραματικές έρευνες που είχε αρχίσει στη Γερμανία, μελέτησε τα κολπικά επιχρίσματα των ινδικών χοιριδίων.
Τα αποτελέσματα ήταν ενθαρρυντικά, ενώ ο ίδιος έδειχνε ενθουσιασμένος όταν κατά την μικροσκόπηση παρατηρούσε την διαφορετική μορφολογία των κυττάρων, ανάλογα με την φάση του ωοθηκικού κύκλου.
Τα ευρήματα αυτά συνέκρινε με τον ορμονικό προσδιορισμό του ωοθηκικού κύκλου των θηλαστικών στα κολπικά επιχρίσματα. Μελετώντας το υλικό του, διαπίστωσε ότι μεταξύ των κυττάρων υπήρχαν κύτταρα ανώμαλα, που είχαν σχέση με τον καρκίνο του τραχήλου της μήτρας.
Η δεκαετία του 1920 ήταν για αυτόν η περισσότερο δημιουργική. Πραγματοποίησε τις πρώτες κλινικοεργαστηριακές μελέτες για τη διαγνωστική αξία της κυτταρολογικής εξέτασης του κολπικού επιχρίσματος στις γυναίκες.
Η πρωτοποριακή κυτταροδιαγνωστική μέθοδος του Dr. Pap δοκιμάστηκε πρώτα σε φυσιολογικές γυναίκες και έγινε γνωστή ως «Pap smear» (επίχρισμα Παπανικολάου) και «Pap Test» (δοκιμασία Παπανικολάου).
Ακολούθησαν τα πρώτα κλινικά ευρήματα σε καρκινοπαθείς γυναίκες του «Women’s Hospital» της Νέας Υόρκης (1925).
Πολύτιμος παραστάτης και βοηθός στο έργο του ήταν η γυναίκα του Μάχη, η οποία εργαζόταν ως παρασκευάστρια, αλλά και ως εθελόντρια από την οποία έπαιρνε κολπικά επιχρίσματα.
Το έτος 1928 παρουσίασε την εργασία του «Νέα διάγνωση του καρκίνου», η οποία όμως δεν έτυχε ευμενούς υποδοχής από τον επιστημονικό κόσμο.
Συνέχισε τις έρευνές του πάνω στην ενδοκρινολογία της γυναίκας, ενώ από τον Οκτώβριο του 1939 αρχίζει η επανεκτίμηση της μεθόδου εξέτασης του κολπικού υγρού για την ανίχνευση του καρκίνου.
Το 1941 δημοσίευσε στο περιοδικό «American journal» εργασία με τίτλο: «Η διαγνωστική αξία του κολπικού επιχρίσματος στη διάγνωση του καρκίνου του τραχήλου της μήτρας», στην οποία τονιζόταν η αναγκαιότητα εφαρμογής της μεθόδου στο σύνολο των γυναικών για τη διάγνωση σε πρώιμο ιάσιμο στάδιο του καρκίνου του τραχήλου της μήτρας.
Επίσης περιέγραφε τον τρόπο συλλογής των κυττάρων, τη χρώση και τα μορφολογικά χαρακτηριστικά στα οποία στηρίζεται η διάγνωση.
Λίγο αργότερα (1943) παρουσίασε μαζί με τον Trauth την κλασική και διάσημη πια εργασία του «Διάγνωση του καρκίνου του τραχήλου της μήτρας από τα κολπικά επιχρίσματα» (Diagnosis of Uterine Cancer by vaginal smear).
Ήδη από το 1940 είχαν αρχίσει να εφαρμόζονται τα προγράμματα μαζικού ελέγχου των γυναικών στην Αμερική, με τα οποία μειώθηκε αισθητά η θνησιμότητα από τον καρκίνο του τραχήλου της μήτρας.
Τα προγράμματα αυτά επεκτάθηκαν αργότερα (το 1960) και στην Ευρώπη με τα ίδια ελπιδοφόρα αποτελέσματα.
Μετά από αυτή την επιτυχία ο Παπανικολάου έστρεψε την προσοχή του στη σωστή εκπαίδευση γιατρών στην τεχνική λήψης και χρώσης των επιχρισμάτων και της διάγνωσης του καρκίνου.
Τότε πρότεινε και την ταξινόμηση των ευρημάτων του σε 5 κατηγορίες (Ι, ΙΙ, ΙΙΙ, ΙV, V) και έτσι στο Νοσοκομείο Cornell γεννήθηκε ένας νέος κλάδος, η «Αποφολιδωτική Κυτταρολογία».
Το 1954 εξέδωσε τον «Άτλαντα της Αποφολιδωτικής Κυτταρολογίας». Σε αυτόν περιγράφονταν οι αλλοιώσεις, καλοήθεις, προκαρκινικές και κακοήθεις, των αποφολιδωμένων κυττάρων, σε σύγκριση με τις αντίστοιχες ιστολογικές του γυναικολογικού συστήματος.
Επίσης περιγράφονται και αλλοιώσεις του ουροποιητικού και αναπνευστικού συστήματος, όπου διακρίνονται και τα Pap-cells, τα οποία διέγνωσε στα δικά του πτύελα μετά από κρυολόγημα.
Κυτταρικές αλλοιώσεις σε εκκρίματα της θηλής του μαστού, υγρά των κοιλοτήτων και του γαστρεντερολογικού συστήματος περιλαμβάνονταν στον εν λόγω Άτλαντα.
Για το μνημειώδες έργο της ζωής του «Άτλας Αποφωλιδωτικής Κυτταρολογίας», ο ίδιος έγραψε: «Αποτελεί μία από τις τελευταίες συνεισφορές μου στην Επιστήμη. Ευχαριστώ το Θεό που μου χάρισε μακροζωία και μου έδωσε την δύναμη να τη φέρω εις αίσιον πέρας».
Παράλληλα με τις εργασίες στο Cornell, εργάσθηκε και ως σύμβουλος στο Αντικαρκινικό Νοσοκομείο «MEMORIAL».
Πλήθος γιατρών απ’ όλα τα μέρη του κόσμου παρακολούθησαν και ειδικεύτηκαν στα εργαστήρια του Παπανικολάου στον νέο κλάδο της Αποφολιδωτικής Κυτταρολογίας.
Ήδη από το 1947 του είχε απονεμηθεί ο τίτλος του Τακτικού Καθηγητή της Κλινικής Ανατομικής.
Στη διάρκεια της επιστημονικής του σταδιοδρομίας κατέκτησε όλους τους τίτλους της ιεραρχίας στο Πανεπιστήμιο Cornell:
1914-33: Πανεπιστημιακός επιμελητής
1923-37: Υφηγητής (Assistant Professor)
1937-47: Επίκουρος Καθηγητής (Associate Professor)
1947-57: Καθηγητής (Professor)
1957-61: Ομότιμος Καθηγητής (Emeritus Professor)
Οι θέσεις αυτές ήταν κατ’ ουσίαν τιμητικές. Ποτέ δεν του ανατέθηκε να διδάξει, ώστε να μπορέσει να παραμείνει απερίσπαστος στο ερευνητικό του έργο.
Επισκέφθηκε για πρώτη φορά την Ελλάδα το 1957, μετά από 44 χρόνια συνεχούς απουσίας και έγινε δεκτός με ιδιαίτερες τιμές.
Τελικός προορισμός του ήταν η γενέτειρά του Κύμη Ευβοίας, οι κάτοικοι της οποίας του επεφύλαξαν θερμότατη υποδοχή.
Το 1961 αποδέχθηκε τελικά την πρόταση να αναλάβει την διεύθυνση ενός Ινστιτούτου Έρευνας για τον Καρκίνο στο Μαϊάμι της Φλόριντα στο οποίο θα δινόταν το όνομά του («Papanicolaou Cancer Research Institute»).
Το ζεύγος Παπανικολάου εγκαταστάθηκε στον νέο τόπο του τον Νοέμβριο του 1961. Η αλλαγή όμως του περιβάλλοντος και η υπερκόπωση για την οργάνωση και λειτουργία του Ινστιτούτου στάθηκε καθοριστική.
Πέθανε στις 19 Φεβρουαρίου του 1962, μετά από καρδιακή προσβολή, αφήνοντας πίσω του ένα τεράστιο κενό.
Ο Γεώργιος Παπανικολάου είχε την ικανοποίηση να δει εν ζωή το έργο του να αναγνωρίζεται σε παγκόσμια κλίμακα. Δέχθηκε άπειρες εκδηλώσεις ευγνωμοσύνης και τιμήθηκε διεθνώς με πάμπολλα βραβεία και διακρίσεις.
Μέσα από τη δύσκολη και συναρπαστική ιστορία της ζωής του, ο μεγάλος αυτός επιστήμονας και άνθρωπος κατόρθωσε με συνεχή και σκληρό αγώνα να δημιουργήσει ένα σπάνιο έργο, ένα έργο που καταξιώνει την ανθρώπινη υπόσταση και της δίνει την προέκταση μιας υπαρκτής αθανασίας.
Η βιογραφία του Γεωργίου Παπανικολάου βρίσκεται στο site dr-pap.com.
